Úvod do problematiky
Mnoho lidí dnes touží po zářivě bílém úsměvu a barva zubů významně ovlivňuje jejich sebevědomí (MDPI – Applied Sciences). Ordinační bělení zubů (bělení prováděné zubním lékařem v ordinaci) patří k oblíbeným kosmetickým zákrokům v zubní medicíně.
V tomto článku srozumitelně vysvětlíme, jak bělení zubů v ordinaci funguje z biochemického hlediska, jaké výsledky lze očekávat, jak si stojí ve srovnání s jinými metodami a jaká jsou jeho možná rizika. Vycházíme přitom z nejnovějších vědeckých studií a doporučení světových odborníků, abychom poskytli objektivní pohled podložený daty.
Moderní přístup k bělení
Současná stomatologie nabízí řadu metod bělení – od profesionálních ordinačních procedur přes domácí systémy na míru až po volně prodejné prostředky. Každá metoda má své výhody a omezení, které je důležité znát před rozhodnutím o bělení.
Biochemický princip bělení zubů

Peroxidové sloučeniny pronikají do struktury zubu a oxidují pigmenty
Barevný odstín zubu je dán pigmenty usazenými ve sklovině a dentinu. Bělení zubů funguje na principu oxidace těchto pigmentů peroxidovými sloučeninami – nejčastěji peroxidem vodíku nebo karbamid-peroxidem (který se v ústech rozkládá právě na peroxid vodíku) (MDPI – Applied Sciences).
Jak funguje oxidace pigmentů
Peroxid je silné oxidační činidlo: jeho molekuly pronikají skrz mikroskopické póry skloviny do hlubších struktur zubu během několika minut (ADA – Whitening Guidelines). Tam reagují s barevnými organickými molekulami (tzv. chromofory) a štěpí jejich chemické vazby – tím pigment ztrácí svou barvu a zuby vypadají světlejší.
Tento proces účinně odstraňuje nejen povrchové skvrny od kávy, čaje či vína, ale i hlubší zabarvení způsobené stárnutím zubů. Výsledkem je zesvětlení přirozeného odstínu chrupu, aniž by došlo k narušení jeho struktury.
Ochrana zubní struktury
Sklovina zůstává neporušená, mění se jen barva organických částic uvnitř ní. Moderní bělicí systémy jsou navrženy tak, aby minimalizovaly riziko poškození tvrdých zubních tkání.
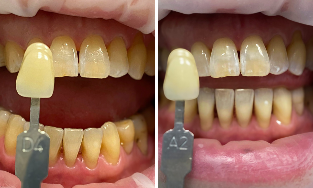
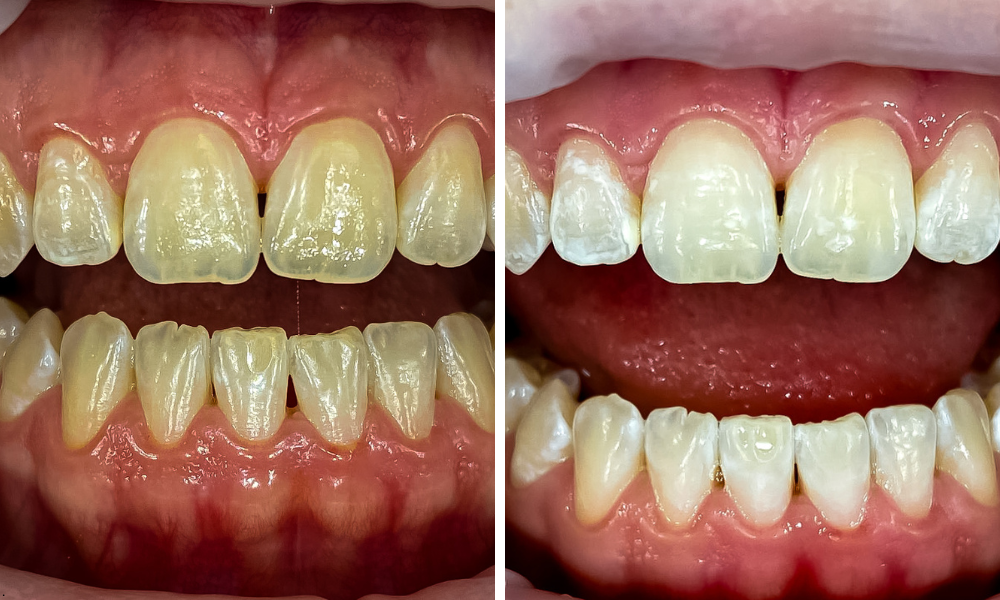
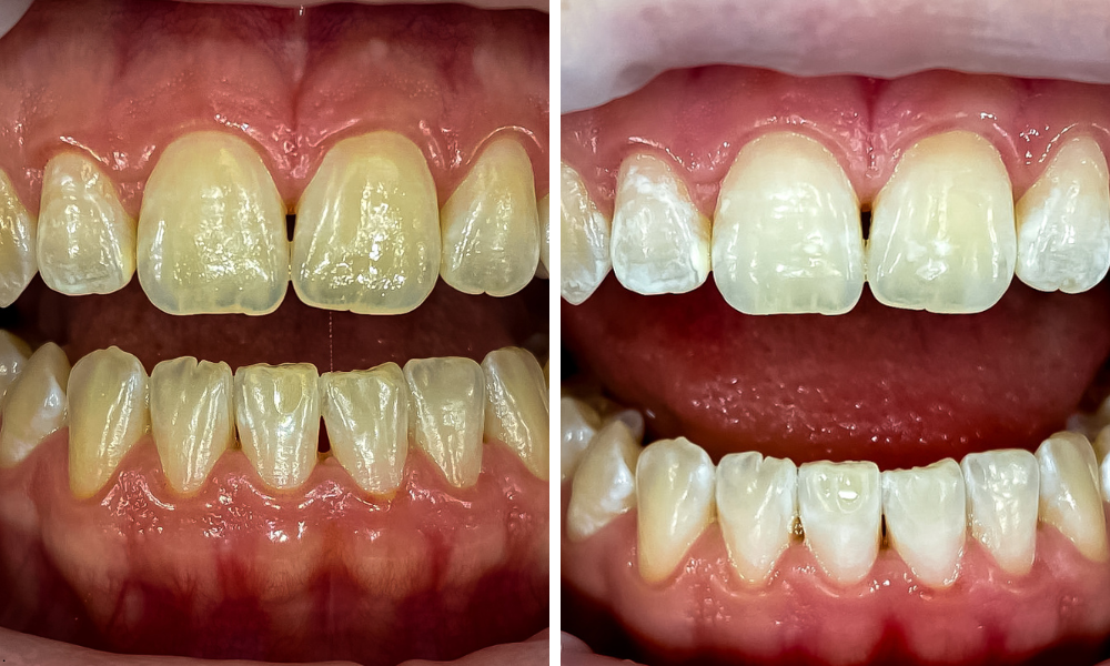
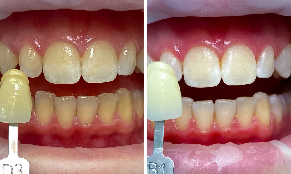
Účinnost ordinačního bělení zubů

Moderní ordinační bělení dosahuje výrazného zesvětlení během jedné návštěvy
Moderní ordinační bělení umožňuje zesvětlit zuby o několik odstínů během jediné návštěvy u zubaře. Klinické výzkumy jednomyslně potvrzují, že profesionální bělení peroxidem skutečně výrazně mění barvu zubů oproti výchozímu stavu (MDPI – Applied Sciences).
Klinicky ověřené výsledky
Jedna srovnávací studie zjistila, že 93 % pacientů po bělení zaznamenalo zlepšení odstínu alespoň o 2 stupně na barevné škále, zatímco v kontrolní skupině bez bělení to bylo jen 20 % (PMC – Clinical Study).
Takové výsledky dokazují, že efekt bělení je statisticky významný ve srovnání s nepodstoupením žádné léčby. Většina pacientů je s estetickým efektem spokojena a bělejší zuby jim prokazatelně zlepšují psychologické ukazatele, jako je sebevědomí a kvalita života.
Faktory ovlivňující výsledky
Je však dobré mít realistická očekávání – dosažitelný odstín závisí i na příčině zabarvení zubů:
- Žluté zuby od kávy či tabáku typicky reagují na bělení lépe
- Šedavé zbarvení zubů po užívání tetracyklinových antibiotik je obtížnější na bělení
- Bílé skvrny při fluoróze se mohou bělením dokonce zvýraznit
- Přirozená barva zubu určuje maximální možné zesvětlení
Srovnání různých metod bělení

Různé metody bělení zubů mají odlišné výhody a nevýhody
Bělit zuby lze různými způsoby – kromě ordinačního bělení pod dohledem lékaře existují také domácí bělicí sady na míru a volně prodejné prostředky (pásky, gely, pasty).
Ordinační vs. domácí bělení
Z hlediska výsledného efektu výzkumy neprokázaly výrazný rozdíl mezi ordinačním a domácím bělením; oba přístupy jsou při správném postupu podobně účinné (MDPI – Applied Sciences). Liší se však rychlost a výdrž efektu.
Charakteristiky ordinačního bělení
- Vysoká koncentrace: 25–40% H₂O₂ v jedné až dvou seancích
- Rychlý výsledek: Efekt viditelný okamžitě
- Kratší výdrž: Barva se částečně vrací do 6 měsíců
- Odborný dohled: Minimální riziko komplikací
Charakteristiky domácího bělení
- Nižší koncentrace: ~10–16% karbamid-peroxid (~3–6% H₂O₂)
- Postupný efekt: Výsledek během několika dnů až týdnů
- Delší výdrž: Efekt vydrží často kolem jednoho roku i déle
- Pohodlí domova: Flexibilní aplikace
Role speciálních lamp
Pokud jde o využití speciálních lamp (LED, UV) při bělení v ordinaci, výzkum ukazuje, že samotný zdroj světla nemá zásadní vliv na dosažený odstín – důležitý je hlavně chemický účinek peroxidu (PMC – Light Activation Study). Lampy mohou spíše zkrátit dobu působení gelu, ale bělení funguje i bez nich.
Volně prodejné prostředky
Volně prodejné bělicí produkty pro domácí použití mívají nižší koncentrace peroxidu, a proto obvykle dosahují jen pozvolných a omezených změn barvy:
- Bělicí zubní pasty: Spoléhají hlavně na abrazivní odstranění povrchových skvrn
- Bělicí pásky: Obsahují peroxid, účinnější než pasty
- Nanášené gely: Podobný efekt jako některé pasty
Kombinace metod
Kombinace obou metod (ordinační + následné domácí bělení) obvykle nezvýší výsledný efekt, naopak může zvyšovat výskyt citlivosti zubů (MDPI – Applied Sciences).
Délka účinku a udržení výsledků
Bez ohledu na zvolenou metodu není bělení zubů trvalé – získaný světlejší odstín se může postupem času opět mírně ztmavit vlivem konzumace barviv (káva, čaj, červené víno, kari apod.) a dalších faktorů.
Očekávaná výdrž efektu
Obecně se uvádí, že efekt bělení vydrží přibližně od několika měsíců až po zhruba 2 roky (některé zdroje uvádějí až 2–3 roky) (Prospect Road Dental), přičemž délka trvání silně závisí na životním stylu a hygieně.
Faktory ovlivňující výdrž
Jedna klinická studie například zjistila, že při sledování po 6 měsících si zhruba polovina bělených zubů stále udržovala výrazné zesvětlení, zatímco u zbytku došlo k částečnému návratu původní barvy (PMC – Longevity Study).
Naopak u lidí, kteří se vyhýbají kouření a pigmentovaným nápojům, zůstávají zuby po bělení podstatně déle bílé – podle některých pozorování téměř beze změny i po 5 letech (Armytage Dental).
Doporučení pro udržení výsledků
- Bílo-dieta: První dny po bělení se vyhýbat barevným potravinám
- Omezení návyků: Snížit konzumaci kávy, vína, kouření
- Udržovací péče: Speciální bělicí zubní pasty
- Pravidelné přebělování: „Touch-up“ jednou za rok či dva
Někteří zubní lékaři radí přijít na opakované „touch-up“ bělení přibližně jednou za rok či dva podle potřeby (Boston University Dental), aby si pacient zachoval požadovaný odstín dlouhodobě.
Bezpečnost a možná rizika

Moderní bělicí systémy jsou bezpečné při dodržení správných postupů
Odborné studie i zkušenosti z praxe potvrzují, že bělení zubů pod dohledem stomatologa je pro zdravý chrup považováno za bezpečné, pokud jsou dodržena správná doporučení (PMC – Safety Review).
Bezpečnostní profil
Peroxidové gely používané při bělení jsou netoxické a ani vysoko koncentrovaný peroxid nepoškozuje trvale tvrdé zubní tkáně, pokud je použit správně a po omezenou dobu (MDPI – Applied Sciences).
Nejčastější vedlejší účinky
Přechodná citlivost zubů
Nejčastějším vedlejším účinkem bělení je přechodná zvýšená citlivost zubů na chladné či horké podněty. Různé studie uvádějí výskyt dočasné citlivosti u 50–66 % pacientů během nebo po bělení (ADA – Whitening Guidelines), typicky však jde o mírnou obtíž, která odezní několik hodin až dní po ukončení bělení.
Podráždění dásní
Druhým možným problémem je podráždění dásní, zvláště pokud se bělicí gel dostane na měkké tkáně. V ordinaci se tomu předchází pečlivou ochranou dásní krycím materiálem, takže riziko poleptání je minimální.
Dlouhodobé účinky
Výzkumy nezaznamenaly žádné závažné trvalé poškození skloviny vlivem bělení. Mohou se sice objevit drobné změny na povrchu zubů (například přechodné změkčení nebo mírné zdrsnění skloviny), tyto změny jsou ovšem povrchové a zuby se následně samy remineralizují působením slin a fluoridů.
Novější studie upozorňují zejména na možnost zvýšené pórovitosti skloviny či oslabení výplní v důsledku bělení (PMC – Enamel Changes), avšak v praxi se tato mikroskopická rizika minimalizují dodržováním správných postupů a používáním fluoridových přípravků po bělení.
Kontraindikace a omezení
Kdy bělení nedoporučujeme
- Mladiství do 15–16 let: Méně mineralizovaná sklovina a větší zubní dřeň
- Těhotné a kojící ženy: Z důvodu opatrnosti (ADA doporučení)
- Nezdrové zuby: Kazy, praskliny, zanícené dásně
- Vrozené poruchy skloviny: Bělení není účinné
Bělení také nemá vliv na umělé zubní materiály – výplně, korunky či fazety zůstanou beze změny odstínu (ADA – Whitening Guidelines).
Vliv na zdraví dásní
Bělení nemá negativní vliv na zdraví dásní či tvorbu zubního plaku – v jedné studii nebyly po bělení zaznamenány žádné nepříznivé změny indexů plaku ani indexů zánětu dásní (PMC – Gingival Health).
Závěr
Ordinační bělení zubů pod dohledem odborníka dokáže účinně a rychle zesvětlit váš úsměv. Současné vědecké poznatky jej označují za bezpečné a efektivní, pokud jsou dodrženy předepsané postupy (PMC – Safety Review).
Klíčové poznatky
- Vysoká účinnost: 93 % pacientů zaznamenává výrazné zlepšení
- Rychlé výsledky: Efekt viditelný během jedné návštěvy
- Bezpečnost: Minimální riziko při odborném provedení
- Přechodné účinky: Možná citlivost a podráždění dásní
- Výdrž: 6 měsíců až 3 roky podle životního stylu
Pacienti by měli počítat s možností dočasné citlivosti nebo podráždění dásní, ale jiná závažnější rizika jsou velmi vzácná. Pro co nejlepší a nejtrvalejší výsledek je vhodné konzultovat bělení se svým zubním lékařem, dbát jeho pokynů a v případě potřeby opakovat bělení v doporučených intervalech.
Moderní přístup k bělení
S přispěním moderní vědy tak lze dosáhnout výrazně bělejších zubů bez ohrožení zdraví chrupu. Klíčem k úspěchu je správná indikace, odborné provedení a realistická očekávání pacientů.
Důležité upozornění
Tento článek slouží pouze k informačním účelům. Před rozhodnutím o bělení zubů je nezbytná konzultace s kvalifikovaným zubním lékařem, který posoudí stav vašich zubů a doporučí nejvhodnější postup.
✨ Bělejší úsměv za jednu návštěvu
Objednejte se na tel. 313 104 100 a získejte zářivě bílé zuby během jediné návštěvy v naší ordinaci. Profesionální bělení s okamžitým výsledkem!
Zavolat 313 104 100