Moderní stomatologie má jeden jasný cíl: zachovat váš vlastní zub co nejdéle. Extrakce spouští řetězec negativních důsledků pro zdraví ústní dutiny, celého těla i peněženky. Vědecké důkazy mluví jednoznačně.
Proč je zachování zubu prioritou
Každý zub má v chrupu nezastupitelnou funkci. Ztráta jediného zubu může ovlivnit celý žvýkací systém, způsobit změny pozice ostatních zubů a vést k dlouhodobým zdravotním problémům. Moderní stomatologie má proto za cíl maximálně zachovat vlastní zuby pacienta – i tehdy, kdy jsou vážně poškozené.
Rozsáhlé vědecké studie posledních 10–20 let jednoznačně potvrzují, že zachování vlastního zubu má pozitivní dopad na celkové zdraví organismu, stav ústní dutiny, ekonomiku i kvalitu života.

Co věda říká o zachování zubů
Každý zachráněný zub snižuje riziko systémových komplikací. Vědecké důkazy jasně ukazují, že zachování vlastního zubu pozitivně ovlivňuje celkové zdraví organismu (snížení rizika kardiovaskulárních chorob), dlouhodobý stav ústní dutiny, ekonomické náklady a kvalitu života pacienta.
Vliv na celkové zdraví
Trávení a výživa
Ztráta zubů zhoršuje žvýkací funkci, což vede k nedostatečnému rozmělnění potravy. Velké kousky špatně rozžvýkané stravy komplikují práci žaludku a střev. Studie potvrzují, že snížená schopnost žvýkání nutí lidi měnit stravovací návyky směrem k méně výživným a měkkým potravinám.
🥗 Nutriční nerovnováha
Nedostatek důležitých živin ze stravy, které vyžadují řádné přežvýkání – zelenina, ořechy, maso.
🫀 Kardiovaskulární rizika
Studie dokumentují 1,7–2,9× vyšší riziko kardiovaskulárních příhod a 1,8–2,3× vyšší riziko úmrtí u lidí s výraznou ztrátou zubů.
🩸 Riziko cukrovky
Zvýšená incidence metabolických chorob, zejména u pacientů s větším počtem chybějících zubů. Chronický zánět v ústech hraje klíčovou roli.
🦠 Infekce a absces
Neléčené infekce v zubech mohou vést k vážným komplikacím – zubnímu abscesu a šíření zánětu do okolních tkání.
Systémová rizika ztráty zubů
Rozsáhlé longitudinální studie sledující pacienty po dobu 10–20 let jednoznačně potvrzují spojitost mezi počtem zachovaných zubů a celkovým zdravotním stavem. Vyšší incidence aterosklerózy je přímo spojena s chronickým zánětem v ústech. Zvýšené riziko se týká také cukrovky a metabolického syndromu.
Dlouhodobý stav ústní dutiny

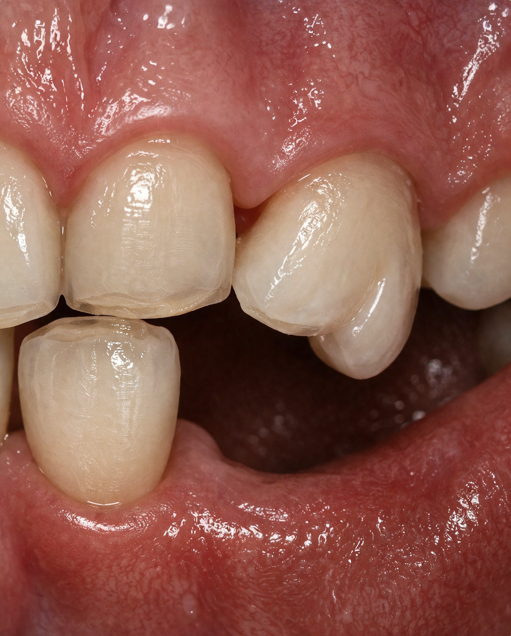
Extrakce zubu narušuje celistvost chrupu a spouští dominový efekt: sousední zuby se naklánějí do prázdného prostoru, protilehlé zuby se prodlužují a celý skus se postupně destabilizuje.
Prázdný prostor po odstraněném zubu navíc komplikuje hygienu, což vede ke zvýšenému riziku zánětu dásní a kazivosti sousedních zubů.
Domino efekt ztráty zubu
Naklánění sousedních zubů
Zuby po obou stranách mezery se začínají pomalu naklánět do vzniklého prostoru. Změna polohy nastupuje během měsíců.
Protruze protilehlého zubu
Zub z druhé čelisti ztratí oporu v kontaktu a začne se „vysouvat“ do mezery. V odborné terminologii mluvíme o extruzi zubu.
Změna skusu a přetížení zbývajících zubů
Nerovnoměrné zatížení zubů zvyšuje riziko prasklin a zlomenin. Dysfunkce čelistního kloubu (TMJ poruchy) jsou dalším častým důsledkem.
Úbytek kostní tkáně
Bez kořene zubu, který stimuluje čelistní kost, dochází k její atrofii: v prvním roce mizí 25 % výšky a šířky alveolárního výběžku, v dalších letech pokračuje úbytek o 0,5–1 mm ročně.
Srovnání: zachování vs. extrakce zubu
Ekonomické důsledky
Z krátkodobého pohledu může být extrakce levnější než ošetření zubu. Při pohledu na 10letý horizont se ale obraz otočí: náklady na náhrady (implantáty, můstky, protézy) výrazně převyšují investici do zachování vlastního zubu.
Zachování zubu jako investice do zdraví
Každý zachráněný zub snižuje riziko dalších stomatologických problémů a systémových onemocnění – to znamená další úspory v budoucnosti. Navíc implantát musí na rozdíl od vlastního zubu projít chirurgickým výkonem, hojením a nezaručuje shodnou propriocepci jako přirozený zub.
Kvalita života pacienta
Ztráta zubu snižuje komfort při žvýkání, omezuje výběr potravin a negativně ovlivňuje artikulaci a estetický vzhled. Studie kvality života ukazují, že pacienti se zachovanými vlastními zuby mají 90 % vyšší spokojenost s žvýkací funkcí, rozmanitější stravu, vyšší sebevědomí a aktivnější sociální život.

🧠 Propriocepce
Vlastní zub poskytuje přirozený cit pro sílu skusu a texturu potravy – funkci, kterou žádná náhrada plně nenahradí.
😊 Sebevědomí a estetika
Kompletní chrup je spojen s vyšším sebevědomím, méně vyhýbáním se společenským situacím a lepší pracovní sebeprezentací.
🗣 Výslovnost
Ztráta předních zubů ovlivňuje artikulaci. Správná výslovnost sykavek a hlásky „s“ závisí na přítomnosti zubů.
🍎 Rozmanitost stravy
Zachovaný chrup umožňuje jíst tvrdá jablka, ořechy, maso – potraviny s vysokou výživovou hodnotou, které pacienti s protézou omezují.
Psychosociální dopady ztráty zubů
Vědecké studie dokumentují přímou spojitost mezi ztrátou zubů a psychickým stavem: snížené sebevědomí, sociální izolaci, zvýšené riziko deprese a úzkosti, problémy v profesním i partnerském životě. S rostoucím věkem populace jsou tyto dopady stále závažnější.
Dostupné metody pro zachování zubu
Moderní stomatologie nabízí celou škálu postupů, jak zachránit i vážně poškozený zub. Extrakce by vždy měla být až poslední možností, nikoliv první volbou.
🔬 Mikroskopická endodoncie
Ošetření kořenových kanálků pod mikroskopem s 95% úspěšností. Rotační nástroje, biokeramické materiály. Záchrana i neúspěšně léčených zubů (reendodoncie).
👑 Protetická rekonstrukce
Keramické korunky a čepové nástavby obnoví i silně poškozený zub. Adhezivní techniky zachovávají maximální množství zdravé zubní tkáně.
🫁 Parodontologická léčba
I zuby s vážným poškozením závěsného aparátu lze zachránit: hluboké čištění, regenerativní postupy, chirurgická eliminace parodontálních chobotů.
🔗 Kombinovaná léčba
Kombinací endodontického ošetření, rekonstrukce a parodontologie lze zachránit i zdánlivě beznadějné zuby. Úspěšnost takových případů přesahuje 85 %.
Úspěšnost moderních zachovávacích metod
- Endodoncie: 90–95 % úspěšnost po 10 letech
- Parodontologická léčba: 85–90 % zachování zubu
- Rekonstrukce korunkou: 95 %+ dlouhodobá funkčnost
- Kombinovaná léčba: i zdánlivě ztracené zuby lze zachránit
Kdy je extrakce skutečně nevyhnutelná
Existují situace, kdy zachování zubu není možné ani účelné: zub rozlomený pod úrovní kosti bez možnosti rekonstrukce, závažná vertikální fraktura kořene, ztráta kostní tkáně přesahující 80 % délky kořene nebo zub v linii zlomeniny čelisti. Vždy je ale nutné tyto situace konzultovat s erudovaným specialistou.
Jak to řešíme v Estoma Clinic
Pomocí mikroskopu dokážeme zachránit i zuby, které jiné ordinace odesílají k extrakci. Naším přístupem je vždy hledat cestu k zachování.
Mikroskop jako základ práce
Pracujeme se zvětšením až 25×. Odhalíme praskliny, zapomenutý kanálek nebo perforaci kořene dříve, než to lze vidět pouhým okem
Biologický přístup ke kazu
Odstraňujeme jen to, co je skutečně poškozené. Zdravá zubní tkáň zůstává zachována – přesně tak, jak to doporučují aktuální vědecké guidelines
Reendodoncie – druhá šance
Pokud jste jinde dostali doporučení k extrakci po neúspěšné endodoncii, přijďte na konzultaci. Mikroskopická reendodoncie má vysokou úspěšnost i v komplikovaných případech
3D diagnostika CBCT
Tam, kde nestačí klasický rentgen, využíváme trojrozměrné zobrazení. Vidíme přesně délku, tvar a počet kořenových kanálků – žádná překvapení během výkonu
Srozumitelná konzultace
Vždy vám ukážeme fotografie z mikroskopu a vysvětlíme, co vidíme. Rozhodnutí zůstává na vás – my vám dáme úplné informace k jeho přijetí
Dlouhodobé sledování výsledků
Kontrolní rentgen po 12 měsících od endodoncie ověří hojení kosti. Dokumentujeme výsledky a reagujeme, pokud je třeba
Časté otázky
Je zachování zubu vždy možné?
Ne vždy, ale moderní stomatologie umožňuje zachránit i vážně poškozené zuby pomocí endodoncie, parodontologické léčby a protetické rekonstrukce. Extrakce by měla být až poslední možností – proto doporučujeme konzultaci se specialistou dříve, než se k ní odhodláte.
Je endodontické ošetření bolestivé?
Moderní endodoncie se provádí v lokální anestézii a je srovnatelná s plombou z hlediska pocitů pacienta. Mírná citlivost po výkonu je normální a odezní do několika dní. Mikroskopická technika navíc minimalizuje potřebné rozsah ošetření a zkracuje dobu hojení.
Co se stane, pokud mezeru po extrakci nezaplním?
Do 6–12 měsíců se sousední zuby začnou naklánět a protilehlý zub se začne vysouvat do mezery. Dochází k úbytku čelistní kosti. Čím déle mezera zůstává nevyplněná, tím složitější a nákladnější je budoucí rekonstrukce – implantát vyžaduje dostatek kosti, můstek poškozuje sousední zuby.
Může implantát plně nahradit vlastní zub?
Implantát je nejlepší náhradou za ztracený zub, ale není ekvivalentem vlastního zubu. Chybí mu přirozená periodontiální ligamenta, která zajišťují propriocepci (cit pro skus). Implantát navíc vyžaduje chirurgický zákrok, hojení 3–6 měsíců a dostatečné množství kostní tkáně. Vlastní zub, pokud lze zachovat, je vždy lepší volbou.
Kdy je extrakce skutečně nevyhnutelná?
Extrakce je nutná při vertikální fraktuře kořene, rozlomení zubu pod úrovní kosti bez rekonstrukčního potenciálu, ztrátě kostní tkáně přesahující 80 % délky kořene nebo pokud zub leží v linii zlomeniny čelisti. Vždy je nutné tyto situace posoudit individuálně – ideálně specialistou s mikroskopem a CBCT diagnostikou.
Jak dlouho vydrží zub po endodoncii?
Správně ošetřený a rekonstruovaný zub po endodoncii vydrží 20 a více let – to potvrzují dlouhodobé klinické studie s 90–95% úspěšností. Klíčem je kvalitní rekonstrukce (typicky keramická korunka) a pravidelné kontroly. Zub po endodoncii vyžaduje o něco pečlivější hygienu než zdravý zub.
Vědecké zdroje a literatura
-
PubMed
The association of tooth loss with all-cause and circulatory mortality — Polzer I et al., Clinical Oral Investigations, 2012.
pubmed.ncbi.nlm.nih.gov/21698476 -
PubMed
Tooth loss and intakes of nutrients and foods: a nationwide survey — Wakai K et al., Community Dentistry and Oral Epidemiology, 2010.
pubmed.ncbi.nlm.nih.gov/19886953 -
PubMed
Tooth loss and oral health-related quality of life: a systematic review — Gerritsen AE et al., Health and Quality of Life Outcomes, 2010.
pubmed.ncbi.nlm.nih.gov/21087472 -
Guideline
Treatment Options for the Compromised Tooth: A Decision Guide — American Association of Endodontists, AAE Position Statement, 2016.
aae.org/specialty/clinical-resources -
Guideline
Quality guidelines for endodontic treatment: consensus report — European Society of Endodontology, International Endodontic Journal, 2006.
pubmed.ncbi.nlm.nih.gov/17180807 -
Review
Impact of the global burden of periodontal diseases on health and wellbeing — Tonetti MS et al., Journal of Clinical Periodontology, 2017.
pubmed.ncbi.nlm.nih.gov/28419559

