 
            Když vám vypadne zubní korunka, je logické se ptát, proč ji nelze prostě znovu „přilepit“ zpátky. Korunka je původně pevně nasazena pomocí speciálního dentálního cementu. Pokud však korunka spadne, obvykle to signalizuje nějaký problém – a pouhé opětovné přicementování bez řešení příčiny by nemuselo být dlouhodobě úspěšné.
Degradace cementu: když „lepidlo“ přestane držet 🔧
 
                Korunka je ke zubu fixována cementem – tenkým filmem materiálu, který funguje jako lepidlo. Postupem času však může dojít k degradaci cementu vlivem prostředí úst (vlhkost, teplota, bakterie) a žvýkacích sil. Cement může mikroskopicky rozpukat, rozpustit se částečně ve slinách nebo ztratit svou původní pevnost.
Studie uvádějí, že u přibližně čtvrtiny selhání korunek je na vině ztráta retence (uvolnění korunky). Odborné práce ukazují, že právě stárnutí a rozpad cementu může přispět k selhání korunek.
Problém s opětovným lepením: Pokud korunka jednou spadla kvůli selhání cementu, samotné opětovné nalepení už nemusí držet tak dobře jako poprvé. Výzkum ukázal, že znovu nasazené korunky měly nižší pevnost, zejména při použití klasických cementů. Například u korunek cementovaných zinkofosfátovým cementem klesla retenční síla při opětovném nasazení výrazně oproti původnímu nasazení.
Moderní cementy vs. klasické: Moderní pryskyřičné a skloionomerní cementy sice drží lépe než klasické, ale i tak platí, že opakované lepení už nevytvoří tak spolehlivý spoj jako nový cement na neopotřebovaných plochách. Důvodem je, že mikroskopické zbytky starého cementu a změny povrchu ovlivňují kvalitu nového spojení.
Změna tvaru zubu a poškození pod korunkou 🦷
 
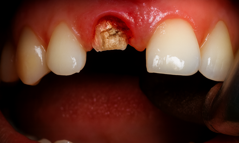
                Aby korunka pevně seděla, vnitřní tvar korunky přesně odpovídá tvaru pahýlu zubu v době zhotovení. Když ale korunka spadne, často zjistíme, že se situace změnila. Častým viníkem je zubní kaz pod korunkou.
Pokud se pod korunkou vyvinul kaz, ubere zubu hmotu a naruší tvar pahýlu. Zubař musí před opětovným nasazením zub očistit od kazu a možná doplnit výplňový materiál – tím se ale změní velikost a tvar pahýlu. Původní korunka pak na takový zub už přesně nepasuje.
⚠️ Sekundární kaz pod korunkou
Podle klinických studií tvoří sekundární kaz téměř 9 % všech selhání korunek. V takových případech se zpravidla musí zhotovit korunka nová po ošetření zubu. Odborníci upozorňují, že jakmile je potřeba zub znovu brousit nebo dostavovat kvůli kazu, stará korunka obvykle tvarově nebude sedět.
Další příčiny změny tvaru: Změna tvaru pahýlu nenastává jen kazem. Někdy se odlomí kousek zubu nebo výplně pod korunkou při jejím uvolnění. Také samotné odstraňování starého cementu ze zubu a korunky může mírně změnit povrch – zubní lékař musí zbytky cementu odškrábat a obrousit, čímž se pahýl může stát o něco menším. I mikroskopické změny mohou způsobit, že korunka už nebude tak těsná jako dřív.
Proč je přesnost důležitá: Korunka, která nesedí naprosto přesně, by po zalepení vytvořila spáry na okrajích. V takových spárách by se hromadily bakterie a plak, což vede k rychlému vzniku kazu pod korunkou. Právě přesnost dosedu a těsné okraje jsou klíčové pro úspěch korunky.
Vypadla vám zubní korunka?
Neváhejte a navštivte nás co nejdříve. Vyšetříme příčinu problému a navrhneme nejlepší řešení pro vaši situaci.
Objednat se na vyšetřeníKontaminace vnitřní strany korunky 🦠
 
                Když korunka spadne, její vnitřní strana (která byla předtím sterilní a čistá) se okamžitě kontaminuje prostředím úst – slinami, bakteriemi z plaku, zbytky jídla. Stejně tak povrch zubu po odpadnutí korunky není sterilní. Tato kontaminace zásadně ztěžuje opětovné cementování.
Dramatický pokles pevnosti: Výzkumy ukazují, že slina na vnitřním povrchu korunky může dramaticky snížit pevnost přilnutí cementu. Studie z Univerzity v Bristolu zjistila, že kontaminace porcelánové náhrady slinou může snížit vazebnou sílu pryskyřičného cementu k porcelánu o více než 60 %!
Fosfolipidy v slinách: Hlavním viníkem jsou tzv. fosfolipidy v našich slinách – molekuly, které se pevně navážou na povrch korunky a blokují místa, kde by se měl uchytit cement. Opláchnutí vodou nestačí, tyto slinné „filmy“ se na povrchu udrží a vyžadují speciální postupy čištění.
Speciální postupy čištění: Pro keramické korunky se používá leptání kyselinou fluorovodíkovou a použití silanového přípravku. U zirkonových korunek je nutné pískování abrazivem nebo aplikace speciálních čisticích roztoků. Kovové korunky vyžadují abrazivní čištění a mechanickou přípravu povrchu.
Biomechanické selhání a důvody ztráty retence ⚙️
 
                Je důležité se zamyslet i nad tím, proč korunka spadla. Korunky obvykle nepadají jen tak – často k tomu vedou biomechanické důvody. Například pokud byl zubní pahýl příliš krátký nebo kuželovitý, nemá korunka dostatečnou mechanickou retenci a spoléhá jen na cement.
Rizikové faktory: Krátký nebo kuželovitý pahýl zubu poskytuje nedostatečnou mechanickou retenci – korunka má tendenci se „vysunout“. Bruxismus (skřípání zubů) vytváří extrémní tlaky na cement, zatímco nesprávný skus způsobuje nerovnoměrné zatížení korunky.
Opakující se problémy: Jestliže korunka spadla kvůli neideálnímu tvaru pahýlu, pouhé opětovné nasazení bez úpravy situace problém nevyřeší – korunka bude mít tendenci spadnout znovu. Studie potvrzují, že u pacientů s bruxismem je riziko uvolnění korunky vyšší.
✅ Možná řešení
- Úprava tvaru pahýlu – přidání rýh či drážek pro lepší retenci
- Silnější adhezivní cement – pro lepší spojení
- Noční dlaha – ochrana proti skřípání zubů
- Úprava skusu – rovnoměrné rozložení sil
Keramika vs. kov: rozdílné chování při opětovné cementaci 🔬
 
                Typ materiálu korunky hraje roli v tom, jak (a zda) ji lze úspěšně recementovat. Každý materiál má svá specifika a zubní lékař musí posoudit, jestli má recementace smysl, nebo je materiál korunky už kompromitovaný.
Kovokeramické korunky: Kovokeramická korunka má vnitřní kovovou strukturu, na které je napálená keramika z vnějšku. Vnitřní kovový povrch korunky se dá relativně dobře očistit abrazivně (pískováním) a nová cementace pak spoléhá hlavně na „vyplnění“ prostoru cementem a mechanické zaklínění. U kovových povrchů však nedochází k chemické vazbě s moderními pryskyřičnými cementy – spoj je čistě mechanický.
Celokeramické korunky: Celokeramické korunky umožňují chemickou adhezi, ale tato vazba je velmi citlivá na kontaminaci. Pokud z keramiky po prvním použití zůstaly zbytky starého cementu nebo došlo ke kontaminaci fosfáty ze slin, dramaticky klesá možnost znovu korunku přilepit spolehlivě.
⚠️ Zirkonové korunky – speciální případ
U zirkonových korunek je recementace obzvlášť obtížná – zirkonie je chemicky „odolná“ a vyžaduje speciální primer (obsahující 10-MDP monomer) pro vytvoření adheze. Není tedy divu, že zirkonové korunky jsou známé tím, že když už spadnou, recementace je výzvou a často se raději volí zhotovení nové korunky.
Shrnutí podle materiálů: Kovové korunky mohou jít někdy lépe dočasně přicementovat. Keramické korunky často druhé lepení nevydrží bez speciálních opatření. Zirkonové korunky jsou nejnáročnější na úspěšnou recementaci.
Kdy je nutné zhotovit korunku novou 🔄
Z výše uvedených důvodů vyplývá, že existuje mnoho situací, kdy původní korunku nelze znovu použít a je potřeba vyrobit korunku novou. Obecně platí, že nová korunka je nutná v následujících případech:
Pod korunkou je kaz nebo poškození zubu: Jakmile se zub musí opravit (odstranit kaz, dát výplň, vybudovat nový čep atd.), stará korunka tvarově nesedí a staré rozměry už neodpovídají novému pahýlu. Nová korunka zajistí přesné okraje a ochranu opraveného zubu před pronikáním bakterií.
Korunka je poškozená: Pokud korunka praskla, odštípla se z ní keramika nebo se deformovala kovová část, kompromitovaná korunka se nedá opravou plnohodnotně zachránit. Zubní lékař může v některých případech provést drobnou opravu pryskyřičným materiálem, ale to jsou spíše provizorní řešení.
Zub už korunku neudrží: Někdy problém není jen v cementu či korunce, ale v samotném zubu – například pokud došlo k prasklině kořene, pokročilé parodontitidě nebo zub ztratil tolik hmoty, že na něm korunka nedrží. V takových případech se korunka opakovaně uvolňuje. Jestliže je zub nefunkční, recementace nepomůže a přistupuje se k vytažení zubu a jiné náhradě (můstek, snímatelná náhrada nebo implantát).
Výhody nové korunky: Nová korunka se přesně přizpůsobí současnému stavu zubu, využívá moderní materiály s lepšími vlastnostmi než staré korunky, napravuje nedostatky původní korunky a poskytuje dlouhodobou spolehlivost – řeší problém definitivně.
Investice do budoucnosti: Je pochopitelné, že pacienti často chtějí ušetřit náklady a čas a rádi by „použili starou korunku“. Zubní lékař však musí posoudit všechna rizika. Pokud by nasadil starou korunku v situaci, kdy ví, že nebude dobře držet nebo těsnit, vystavuje tím pacienta riziku brzkého pádu korunky nebo vzniku kazu pod ní. Investice do nové korunky se v takovém případě vyplatí.
Kdy může být recementace dočasným řešením 🩹
 
                Existují i situace, kdy je opětovné nasazení korunky možné jako dočasné řešení. Tyto případy jsou však omezené a vyžadují pečlivé posouzení ze strany zubního lékaře.
Korunka je jinak v pořádku: Někdy korunka spadne čistě kvůli dočasnému selhání cementu (např. u provizorních korunek nebo vlivem náhodného velmi silného kousnutí). Pokud zubař zkontroluje, že zub i korunka jsou nepoškozené, může korunku znovu přicementovat. V ideálním případě použije ještě silnější cement nebo upraví povrch korunky pro lepší adhezi.
Dočasná ochrana zubu: Pokud korunka spadla a zub je citlivý, může zubař provést tzv. provizorní recementaci – nasadí korunku zpět provizorním cementem. Tím se zub dočasně ochrání před teplotními podněty a bakteriemi, než se vyrobí korunka nová nebo než proběhne jiné ošetření.
Zdravotní stav pacienta: Občas nelze ihned dělat větší zákrok (např. pacient je těsně po operaci srdce, má dočasně kontraindikaci invazivních výkonů, nebo je na cestách). Zubař může korunku dočasně upevnit, aby pacient neměl obtíže, s tím, že definitivní řešení proběhne později.
⚠️ Důležité upozornění
Je důležité zdůraznit, že pokud se korunka pouze znovu nalepí bez vyřešení příčiny pádu, riziko opakovaného uvolnění je vysoké. Proto recementace dává smysl hlavně jako krátkodobé řešení nebo v případech, kdy skutečně šlo jen o technické selhání cementu a všechny ostatní faktory jsou v pořádku.
Závěr a doporučení 🎯
Klíčové poznatky: Spadlá korunka signalizuje problém – není to jen náhoda. Opětovné lepení má omezení a často není dlouhodobě úspěšné. Příčina pádu je klíčová – musí se vyřešit před recementací. Materiál korunky záleží – různé materiály mají různé možnosti recementace. Nová korunka je často nejlepší dlouhodobé řešení.
Spadlá korunka jistě není příjemná událost, ale může nás ledacos naučit o stavu našeho zubu a práce. Ve většině případů nejde korunku jednoduše „přilepit“ zpátky natrvalo, protože do hry vstupuje opotřebení cementu, změny na zubu, kontaminace a další faktory.
Moderní stomatologie nabízí řešení – ať už v podobě kvalitnějšího opětovného nasazení adhezivní technikou, nebo (častěji) zhotovení nové korunky, která bude sedět a držet optimálně. Pokud je nutná náhrada celého zubu, existují možnosti jako zubní můstky nebo snímatelné náhrady.
⚠️ Co dělat, když korunka vypadne
- Neodkládejte návštěvu zubaře – obnažený pahýl je náchylný k poškození
- Uchovejte korunku – může se hodit pro dočasné řešení
- Vyhněte se tvrdému jídlu – na straně s chybějící korunkou
- Udržujte hygienu – zvýšená péče o odkrytý zub
S odbornou péčí k řešení: Pokud vám korunka vypadne, nejlepší postup je navštívit zubního lékaře. Ten vyšetří, proč korunka spadla, a navrhne řešení. Někdy korunku provizorně připevní zpět, jindy rovnou naplánuje korunku novou. S odbornou péčí a správným postupem však brzy opět budete mít korunku pevně na zubu – ať už tu původní (dočasně), nebo zcela novou, která ochrání váš zub na další roky.
Další zajímavé články
- › Materiály zubních můstků: který je pro vás ten pravý?
- › Zubní můstky: jak fungují a jak obstojí ve srovnání s implantáty
- › Celkové snímatelné zubní náhrady: přehled pro pacienty
- › Průvodce snímatelnými zubními náhradami: imediátní, termoplastické a skeletové
- › Proč dásně kolem metalokeramických korunek šednou
- › Zubní můstky: komplexní služby naší kliniky
- › Snímatelné zubní náhrady: naše služby a možnosti
Zdroje: Informace v článku vycházejí z odborných studií publikovaných v Journal of Prosthetic Dentistry, Clinical Oral Investigations, Journal of Dentistry, Dental Products Report a dalších uznávaných stomatologických časopisech. Všechny uvedené údaje jsou podložené vědeckými výzkumy a klinickou praxí.