Ztráta zubní korunky je pro většinu pacientů nepříjemné překvapení. A ještě horší scénář nastává, když se pod ní objeví kaz nebo zánět. V tomto článku rozebereme nejčastější situace – co udělat ihned, čemu se naopak vyhnout a kdy je zub ještě zachranitelný.
Vypadla korunka – je to problém, nebo jen nepříjemnost?
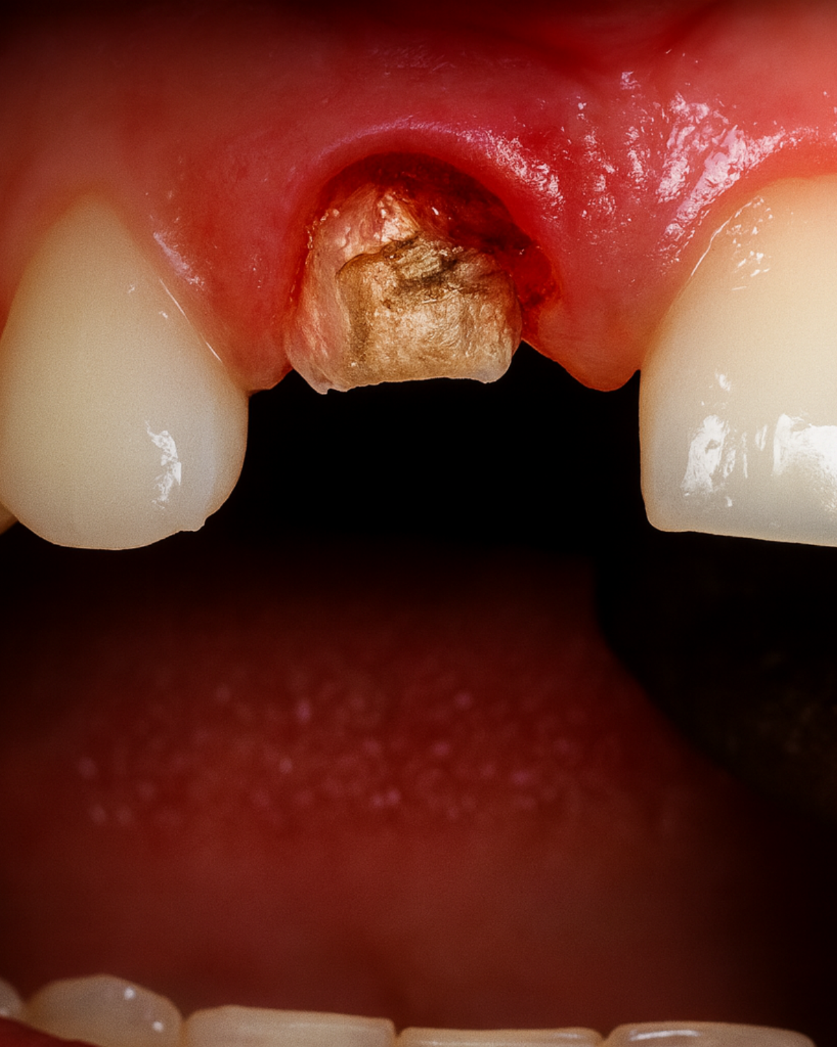
Pokud vám vypadla zubní korunka, nejde jen o kosmetický problém. Znamená to, že selhalo její uchycení – a příčina je klíčová. Odhalený pahýl zubu pod korunkou je bez ochrany, rychle reaguje na teplotu, tlak a bakterie.
Nejčastější příčiny vypadnutí korunky
- Oslabený nebo shnilý zub pod korunkou – kaz rozrušil pahýl
- Sekundární kaz pod korunkou – bakterie pronikly pod okraj
- Uvolnění cementu – přirozené opotřebení po letech
- Mechanické přetížení – kousání tvrdých věcí, skřípání zubů
Co dělat ihned
- Korunku uschovejte – ve vlhkém prostředí nebo ve sklenici s vodou
- Nezkoušejte ji nasazovat „na sílu“ ani lepit doma
- Objednejte se co nejdříve ke stomatologovi – ideálně tentýž nebo druhý den
- Vyhněte se kousání na postižené straně

Vypadla korunka i s čepem – vážnější situace

Pokud vypadla korunka i s čepem, je to vážnější situace než pouhé odcementování. Znamená to, že došlo k oslabení kořene zubu, nebo selhalo endodontické ošetření. To už není „jen přilepení“ – situace vyžaduje komplexní posouzení.
Co může být příčinou
- Oslabení kořene kazem nebo zánětem
- Fraktura kořene (vertikální prasklina)
- Selhání endodontického ošetření – přetrvávající infekce
- Příliš krátký nebo nevhodně umístěný čep
Co bude dál
Zubař na základě rentgenu posoudí, zda je možné zhotovit nový čep a novou korunku – nebo zda je zub natolik poškozený, že je nutná extrakce a následná náhrada (implantát nebo můstek). Podle doporučení American Association of Endodontists je stabilita čepů silně závislá na množství zachované tvrdé tkáně zubu.
Čím přilepit korunku doma – a proč to raději nedělat
Pacienti velmi často hledají: „čím přilepit zubní korunku“ nebo „jak přilepit zubní korunku doma“. Odpověď je jednoznačná: domácí lepení korunky je špatný nápad – a tady je proč.
Proč to nedělat
- Běžná lepidla jsou toxická pro ústní tkáně
- Nesprávná fixace může zhoršit kaz nebo způsobit zánět
- Hrozí vdechnutí nebo spolknutí korunky
- Špatně nasazená korunka poruší skus a přetěžuje okolní zuby
- Lékař pak nemůže zkontrolovat pahýl pod korunkou
Dočasné cementy z lékárny
Existují dočasné dentální cementy z lékárny (např. Dentemp), které jsou krátkodobým řešením na pár dní – jen do doby, než se dostanete k zubaři. Nejsou náhradou za odborné nacementování a nelze je použít jako trvalé řešení.

Shnilý zub pod korunkou: tichý problém

Velmi častý scénář: korunka na pohled drží, ale pod ní vzniká kaz pod korunkou, který dlouho nebolí. Bakterie proniknou pod okraj korunky, začnou napadat pahýl zubu – a pokud se problém včas nezachytí, pahýl se rozpadne natolik, že korunka najednou „vypadne“.
Jak poznat kaz pod korunkou
- Zápach z úst, který hygiena nevyřeší
- Krvácení dásně kolem korunky
- Tmavý okraj u krčku korunky (u dásně)
- Citlivost při skusu nebo na teplé/studené
- Mírné uvolnění korunky – „hraje“ při tlaku
Proč to tak dlouho nebolí?
Zub pod korunkou je často bez nervu (po endodontickém ošetření) – a proto kaz probíhá zcela bezbolestně. Neznamená to, že problém neexistuje. Naopak – absence bolesti dává kazu čas rozrušit pahýl natolik, že zub nelze zachránit. Pravidelné rentgenové kontroly jsou proto zásadní.
Lze korunku jen znovu přilepit?
Záleží na příčině selhání. Prosté odcementování zdravého pahýlu je jednoduché řešení – ale takový případ je menšina. Většinu tvoří situace, kdy je nutné nejprve pahýl ošetřit.
| Situace | Řešení |
|---|---|
| Zdravý pahýl, uvolněný cement | Znovunacementování původní nebo nové korunky – rychlé a jednoduché |
| Kaz pod korunkou | Odstranění kazu, případně nové endodontické ošetření, nová korunka |
| Zlomený zub nebo fraktura pahýlu | Rekonstrukce pahýlu (kompozitní dostavba, nový čep) nebo extrakce |
| Vypadl čep i s korunkou | Rentgen, posouzení kořene, nový plán ošetření – nový čep nebo extrakce |
Sklovláknové čepy – proč jsou lepší než kovové
V Estoma Clinic používáme moderní sklovláknové čepy, které mají modul pružnosti podobný přírodnímu zubu. Na rozdíl od kovových čepů tak nezpůsobují praskání kořene při přetížení – a umožňují zachránit i zuby, které by jinak musely být extrahovány. Sklovláknový čep je navíc esteticky nezávadný (není vidět tmavý kov skrz keramiku) a snadno opravitelný.
Jak to děláme v Estoma Clinic
Operační mikroskop při broušení pilířů
Broušení pod mikroskopem zajistí přesný okraj korunky – minimalizuje mezery, kde vzniká sekundární kaz
Digitální otiskování (3D sken)
Fyzický otisk nahrazujeme přesným intraorálním skenem – žádná guma v ústech, korunka sedí přesněji
Sklovláknové čepy místo kovových
Pružnost blízká zubu, žádné praskání kořene, esteticky čisté – bez tmavého kovu prosvítajícího pod keramikou
Moderní zirkoniová keramika
Celokeramické korunky bez kovu – přirozená průhlednost, biokompatibilní, odolné vůči zabarvení
RTG kontrola před každým cementováním
Před finálním nacementováním ověříme rentgenem, že pahýl je zdravý a korunka správně sedí
Výsledek během 2 návštěv
Digitální workflow zkracuje dobu zhotovení – od broušení k nasazení definitivní korunky zpravidla za 1–2 týdny
Nejčastější chyby pacientů
Tyto chyby výrazně zhoršují prognózu zubu – a zbytečně zvyšují náklady na léčbu.
⏰ Odkládání návštěvy zubaře
Každý den bez korunky zvyšuje riziko kazu a narušení pahýlu. Čím déle čekáte, tím horší prognóza a vyšší náklady na léčbu.
🔧 Domácí opravy
Superglue, vosk, žvýkačka nebo lékárenský cement jako trvalé řešení – to vše zakrývá problém a znemožňuje správnou diagnostiku.
🤐 Ignorování zápachu nebo krvácení
Tyto příznaky jsou spolehlivým signálem kazu nebo zánětu pod korunkou. Bez ošetření se stav vždy zhoršuje – nikdy sám nevymizí.
🍖 Kousání na postižené straně
Odhalený pahýl je křehký a náchylný k fraktuře. Zlomení pahýlu pod úrovní dásně může zub definitivně zachránit bez možnosti rekonstrukce.
Čím dříve přijdete, tím větší šance na záchranu zubu
Vypadlá korunka není jen estetický problém – je to signál, který vyžaduje rychlou reakci. V Estoma Clinic provedeme rentgen, posoudíme stav pahýlu a navrhneme nejlepší řešení.
Mikroskopická stomatologie →Časté otázky
Co dělat, když vypadne korunka v noci nebo o víkendu?
Korunku uschovejte ve vlhkém prostředí (sklenička s vodou). Pahýl zakryjte dočasným cementem z lékárny (Dentemp) nebo opatrně nasaďte původní korunku bez lepidla – jen mechanicky. Nekousejte na postižené straně. Na pravidelnou péči použijte velmi jemný kartáček. Ráno se objednejte k zubaři – nebo navštivte zubní pohotovost, pokud je bolest silná.
Lze použít Superglue nebo sekundové lepidlo na korunku?
Ne. Superglue je toxický pro ústní tkáně, může poškodit dáseň a sliznici. Navíc pevně přilepená korunka znemožní zubaři korunku správně sundat a vyčistit pahýl – což prodraží a zkomplikuje celé ošetření. Použijte výhradně dočasný dentální cement z lékárny (Dentemp, Recapit) – jen jako krátkodobé řešení na 1–3 dny.
Jak poznat, že je pod korunkou kaz?
Kaz pod korunkou se často projevuje: zápachem z úst, který se zhoršuje po čištění, krvácením dásně u krčku korunky, tmavým okrajem u dásně, nebo citlivostí při skusu. Pozor – zub pod korunkou bývá bez nervu, takže bolest nemusí být přítomna ani při rozsáhlém kazu. Jediný spolehlivý způsob detekce je rentgen.
Jak dlouho vydrží zubní korunka?
Při správné péči a pravidelných kontrolách 10–20 let, keramické korunky někdy i déle. Klíčem je: pečlivá hygiena u okraje korunky, vyhýbání se kousání tvrdých předmětů a pravidelné rentgenové kontroly pro včasné zachycení sekundárního kazu. Korunka sama o sobě není problém – problémem je zub pod ní, který potřebuje péči.
Co je sklovláknový čep a proč je lepší než kovový?
Sklovláknový čep má modul pružnosti blízký přirozené zubní tkáni – flexibilně přenáší žvýkací síly a nezpůsobuje praskání kořene, které je u rigidních kovových čepů časté. Je také esteticky čistý (není vidět tmavý kov skrz keramiku korunky) a v případě komplikace snáze opravitelný. V Estoma Clinic používáme sklovláknové čepy standardně jako první volbu.
Kdy je nutná extrakce a co pak?
Extrakce je nutná tehdy, kdy je pahýl natolik rozrušen kazem nebo frakturou, že ho nelze bezpečně rekonstruovat. Po zhojení (6–8 týdnů) lze uvažovat o zubním implantátu nebo zubním můstku. Oba přístupy obnoví funkci i estetiku – výběr závisí na stavu kosti, sousedních zubech a preferencích pacienta.
Odborné zdroje
- World Health Organization – Oral health. who.int
- FDI World Dental Federation – Guidelines for dental prosthetic care. fdiworlddental.org
- American Association of Endodontists – Post and core considerations. aae.org
- Journal of Prosthetic Dentistry – Studies on crown failure and secondary caries. ScienceDirect
